Leia a anamnese a seguir.
Mulher de 68 anos, com hipertensão arterial e dislipidemia foi submetida à artroplastia total do quadril esquerdo devido à os teoartrite com limitação funcional e dor crônica. Estava em uso de losartana e atorvastatina, não apresentando outras comorbidades ou cirurgias prévias e com exames pré-operatórios normais. A cirurgia transcorreu sem intercorrências.
A prescrição de pós-operatório apresentava apenas dipirona regular, omeprazol em jejum e compressão pneumática intermitente de membros inferiores durante 48 horas, até começar a deambular com auxílio.
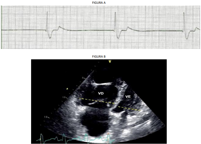
No quinto dia de pós-operatório apresentou episódio de perda súbita da consciência ao se levantar do leito. Foi prontamente atendida, não sendo identificado pulso carotídeo palpável. Iniciadas manobras de ressuscitação e instalada monitorização cardíaca que mostrou o ritmo identificado na figura A. Após 6 minutos houve recuperação da circulação espontânea, em taquicardia sinusal. Ao exame não respondia a comandos verbais ou estímulos dolorosos, com PA: 80×50 mmHg e FC: 120 bpm, além de turgência jugular patológica e ausculta respiratória sem alterações. Bem adaptada à ventilação mecânica, porém com uma saturação de O2 de 85% na vigência de uma FiO2 de 100%. Radiografia de tórax sem alterações parenquimatosas e com tubo orotraqueal bem posicionado.
Um ecocardiograma transtorácico de urgência foi realizado, mostrando pressão sistólica da artéria pulmonar de 78 mmHg e o corte com 4 câmaras encontra-se abaixo (figura B) (VD = ventrículo direito; VE = ventrículo esquerdo).

Considerando o caso clínico acima, responda às questões a seguir.
1. Indique o ritmo de parada cardíaca identificado durante o atendimento?
2. Apresente a etiologia mais provável da parada cardiorrespiratória. Justifique, de acordo com os dados da história, do exame físico e do ecocardiograma.
3. De acordo com a etiologia citada e os dados disponíveis, indique a conduta terapêutica mais indicada neste momento. Descreva como o tratamento deverá ser prescrito.
4. Indique a intervenção que pode reduzir o risco de dano neurológico, após a recuperação da circulação espontânea. Cite o alvo terapêutico e sua duração mínima.
5. Três semanas após o evento, a paciente recebeu alta hospitalar com recuperação funcional adequada. Cite duas opções de medicação oral que poderiam ser indicadas para continuar o tratamento da doença que levou à parada cardiorrespiratória, com as respectivas doses padronizadas para função renal normal e a duração mínima de uso.
CONTEÚDO EXCLUSIVO
Confira nossos planos especiais de assinatura e desbloqueie agora!
Ops! Esta questão ainda não tem resolução em texto.
Ops! Esta questão ainda não tem resolução em vídeo.
Questões Relacionadas
Com base na Resolução CFM nº 2318/2022, que disciplina a prescrição de materiais implantáveis, órteses e próteses e revoga as Resoluções CFM nº 1.804/2006 e nº 1.956/2010, analise o caso a seguir.
Maria, paciente de 75 anos, sexo feminino, com histórico de gonartrose bilateral há 5 anos, nos últimos meses passou a apresentar aumento do quadro de dor e limitação em grau importante do arco de movimentos do joelho direito. Maria foi avaliada por ortopedista assistente que indicou cirurgia eletiva de artroplastia total com prótese.
A solicitação de cirurgia eletiva enviada ao plano de saúde foi encaminhada internamente para avaliação pelo médico auditor.
O médico assistente solicitou prótese da …
Analise o caso clínico a seguir.
Anamnese (resumo): Paciente feminino, 18 anos, parda, solteira, estudante, com dor abdominal, vômitos e dor torácica há cinco dias. Queixava-se ainda de dor óssea generalizada e cefaleia que dificultavam o sono. Desde os cinco anos de idade apresenta episódios semelhantes, diversas vezes com quadros infecciosos, recebendo o diagnóstico de anemia hemolítica. Negou tabagismo e etilismo. Exame físico (resumo): Estado geral comprometido, desidratada, com palidez cutânea importante; PA = 100/65mmHg; FC = 134bpm; temperatura axilar = 38,2°C; frequência respiratória = 32irpm; estava anictérica e acianotica; aparelho respiratório com alguns roncos e crepitações no he…




