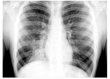
Um paciente de 43 anos de idade, sem comorbidades, alergias ou tratamentos no último ano, apresenta quadro de adinamia, anorexia, picos febris (até 38,5 °C), tosse produtiva com escarro purulento e cansaço aos esforços há dois dias. No exame físico, encontrava-se febril, acianótico, com frequência cardíaca de 108 bpm, frequência respiratória de 21 irpm, saturação de oxigênio em ar ambiente de 95% e pressão arterial de 126 mmHg × 78 mmHg. A ausculta pulmonar revelou estertores crepitantes em terço inferior do pulmão direito. O restante do exame físico não revelou alterações significativas. Os resultados de hemograma realizado indicaram 13.000 leucócitos, sem desvio à esquerda, ureia de 36 mg/dL e creatinina de 0,9 mg/dL. O paciente foi submetido a radiografia de tórax, cujo resultado está apresentado a seguir.

Considerando o caso clínico hipotético apresentado, responda, justificadamente, de acordo com as recomendações da sociedade brasileira que trata da patologia em questão, às seguintes perguntas.
1 Qual é o diagnóstico? [valor: 2,00 pontos]
2 Quais dados do quadro clínico do paciente justificam esse diagnóstico? [valor: 2,00 pontos]
3 É(São) necessário(s) outro(s) exame(s) complementar(es) para que o paciente inicie o tratamento? [valor: 1,80 ponto]
4 Qual é a terapia medicamentosa recomendada? [valor: 1,90 ponto]
5 Em qual regime essa terapia deve ser administrada: via ambulatorial, emergência ou internação hospitalar? [valor: 1,80 ponto]
CONTEÚDO EXCLUSIVO
Confira nossos planos especiais de assinatura e desbloqueie agora!
Ops! Esta questão ainda não tem resolução em texto.
Ops! Esta questão ainda não tem resolução em vídeo.
Questões Relacionadas
Determinado médico assistente emite atestado de incapacidade laborativa de noventa dias, decorrente de transtorno osteomuscular relacionado ao trabalho, para uma servidora pública de 50 anos de idade que exerce o cargo de assessora de diretoria há 20 anos. Constam do prontuário pericial dela afastamentos por incapacidade laborativa devido a fibromialgia (CID M79) e transtorno mental.
A partir da situação hipotética precedente, redija um texto dissertativo considerando as patologias apresentadas pela servidora e aspectos técnicos e legais da medicina do trabalho. Em seu texto, atenda ao que se pede a seguir.
1 Mencione as duas principais doenças ocupacionais, do grupo de doenças osteomuscula…
Títulos e subtítulos de artigos publicados no jornal Correio Braziliense.
Artigo 1 – Quando o trabalho adoece. Distúrbio emocional causado pelo esgotamento profissional, a síndrome de burnout foi agravada pela pandemia de covid. Segundo OMS, Brasil é vice campeão mundial de estresse.
07/08/2022.
Artigo 2 – Quiet quiting: a tendência das novas gerações em fazer apenas o esperado. Entenda mais sobre a nova postura profissional que vai na contramão do workaholic.
29/09/2022.
A partir desses dois títulos e subtítulos de artigos publicados, redija um texto dissertativo que aborde aspectos relacionados à síndrome de burnout, ao impacto da pandemia na saúde dos trabalhadores e ao modo como a…
Exposição curta também prejudica
Estudo mostra que respirar partículas tóxicas por dias ou mesmo horas também impacta negativamente a saúde, registrando-se mais de 1 milhão de mortes precoces atribuídas à poluição aguda do ar.
Correio Braziliense, 6/3/2024 (com adaptações).
Considerando que o fragmento de texto precedente tem caráter unicamente motivador, redija um texto dissertativo a respeito das pneumoconioses relacionadas ao trabalho. Ao elaborar seu texto, atenda ao que se pede a seguir.
1 Defina pneumoconioses. [valor: 2,00 pontos]
2 Apresente dois exemplos dessas patologias e seus respectivos agentes causadores relacionados ao trabalho. [valor: 2,50 pontos]
3 Aponte as duas principais…



