sqd-sistema-de-questoes-discursivas-fundo-escuro-250
Busca por enunciado
Matéria
Banca
Área
Órgão
Ano
Linhas
Q103605 | Medicina
Banca: UEGVer cursos
Ano: 2018
Órgao: Pref Iporá - Prefeitura Municipal de Iporá

A-+=
Salvar em caderno (0)
Faça login para salvar Fechar
Meus Cadernos

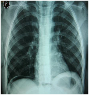
Paciente do sexo masculino, 47 anos, refere que, há mais ou menos 12 horas, iniciou com quadro de dor abdominal lancinante, súbita, intensidade 9/10, de localização epigástrica, e posterior irradiação para todo o abdome, contínua, sem fatores atenuantes, acompanhada de vômitos escuros e com restos alimentares. Tem dor abdominal crônica, nega doenças cardíacas, hipertensão e diabetes. Ao exame, encontrava-se lúcido, pálido, desidratado, facies álgica, sudorético, taquipneico, tempo de enchimento capilar lentificado, abdome difusamente doloroso com tensão aumentada, timpanismo difuso, peristalse ausente, cicatriz umbilical protusa. Sinais vitais: FC 126 bpm, PA 80/60 mmhg, FR 36irpm, Sat 85%. O paciente veio de outro município com este rx em mãos.
 
 
Com base na história clínica e nos achados do exame físico e de imagens desse paciente, responda aos itens a seguir:


1) Qual o diagnóstico sindrômico?


2) Você solicitaria mais exames de imagem para elucidação desse caso específico? Em caso afirmativo, cite quais seriam.


3) Qual o dado no exame físico é essencial para elucidação do diagnóstico clínico? Explique o que ele significa.


4) Descreva qual alteração encontrada na radiografia em questão.


5) Qual deve ser a conduta médica imediata para esse caso?
loader-icon

Ops! Esta questão ainda não tem padrão de resposta.

Este campo é para fins de validação e não deve ser alterado.
Quer ver esse conteúdo aqui? Vote abaixo.
Este campo fica oculto ao visualizar o formulário
Este campo fica oculto ao visualizar o formulário
Este campo fica oculto ao visualizar o formulário
Este campo fica oculto ao visualizar o formulário
Este campo fica oculto ao visualizar o formulário

Ops! Esta questão ainda não tem resolução em texto.

Este campo é para fins de validação e não deve ser alterado.
Quer ver esse conteúdo aqui? Vote abaixo.
Este campo fica oculto ao visualizar o formulário
Este campo fica oculto ao visualizar o formulário
Este campo fica oculto ao visualizar o formulário
Este campo fica oculto ao visualizar o formulário
Este campo fica oculto ao visualizar o formulário

Carregando…

Ops! Esta questão ainda não tem resolução em vídeo.

Este campo é para fins de validação e não deve ser alterado.
Quer ver esse conteúdo aqui? Vote abaixo.
Este campo fica oculto ao visualizar o formulário
Este campo fica oculto ao visualizar o formulário
Este campo fica oculto ao visualizar o formulário
Este campo fica oculto ao visualizar o formulário
Este campo fica oculto ao visualizar o formulário

Conteúdo exclusivo para alunos da Academia de Discursivas ou assinantes do Sistema de Questões Discursivas.
  • Este formulário é para reportar erros nesta questão discursivas. Caso tenha dúvidas ou precise de ajuda, clique aqui para ver nossos canais de contato.
  • Este campo fica oculto ao visualizar o formulário
  • Opcional

Questões Relacionadas

Nenhuma questão encontrada com os critérios informados.

Espaço de Discussão

Converse com outros usuários do SQD

Acompanhar
Notificar
0 Comentários
Antigos
Recentes Votados
Inline Feedbacks
Ver todos comentários