
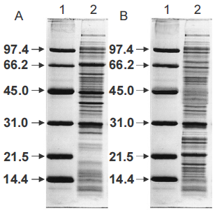
- Cite duas causas prováveis para as diferenças observadas entre os experimentos A e B. [valor: 8,00 pontos]
- Que experimentos poderiam ser propostos com o objetivo de confirmar e(ou) afastar cada uma das causas sugeridas? [valor: 8,00 pontos]
- Indique uma abordagem estatística adequada para avaliar se as diferenças observadas foram ao acaso. [valor: 3,00 pontos]
Ops! Esta questão ainda não tem padrão de resposta.
Ops! Esta questão ainda não tem resolução em texto.
Ops! Esta questão ainda não tem resolução em vídeo.
Questões Relacionadas
Defina taxonomia integrativa, abordando os prós e contras dessa abordagem.
A emissão de diversos gases poluentes na atmosfera tem contribuído para um aumento da temperatura global nos últimos anos. Na região amazônica, esse efeito climático é intensificado pelo desmatamento e pelas queimadas. A maioria dos peixes de água doce está restrita a determinado lago ou rio, tendo dificuldade de migrar para um local diferente para tentar minimizar o efeito do aumento da temperatura.
Explique como as mudanças climáticas provocadas por ações antrópicas têm afetado o ambiente amazônico nos últimos anos e quais as possíveis consequências disso para a ictiofauna da região.
Os insetos foram os primeiros animais a voar. De fato, o surgimento das asas tem sido historicamente associado ao sucesso evolutivo dos insetos alados, que prevaleceram em riqueza de espécies e abundância sobre todas as demais linhagens de artrópodes. Ainda assim, muito se especula sobre as estruturas e pressões ambientais que teriam dado origem às asas dos insetos e quais seriam as funções das protoasas nas linhagens basais de Pterygota.
Tendo como referência as informações apresentadas, redija um texto dissertativo em que sejam explorados os principais aspectos do surgimento e da evolução morfológica alar, com base nas hipóteses mais aceitas atualmente para a origem das asas nos insetos.



